Sign up for FlowVella
Sign up with FacebookAlready have an account? Sign in now
By registering you are agreeing to our
Terms of Service
Loading Flow
SURF1 is found in DNA which makes protein that helps assemble cytochrome.
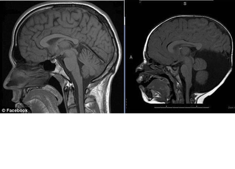
Leigh syndrome usually arises in the first year of life. The mutated gene causes loss of mental and movement abilities. The human body will also fail to grow normally.
Leigh Syndrome
