Sign up for FlowVella
Sign up with FacebookAlready have an account? Sign in now
By registering you are agreeing to our
Terms of Service
Loading Flow




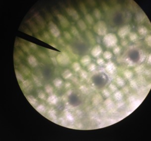
Spruce Needle
These slides of a spruce needle show several different parts of a leaf's structure. First It shows the stomata, the dark spots on the surface. Then it also shows the cuticles that lie on the upper epidermis. Lastly the 10x slide shows a protruding leaf vein. This vein, one of many, makes up the parallel vein pattern found in the needle.
#1
10x

40x