Sign up for FlowVella
Sign up with FacebookAlready have an account? Sign in now
By registering you are agreeing to our
Terms of Service
Loading Flow

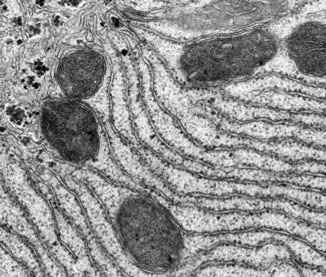
Rough Endoplasmic reticulum
Rough endoplasmic reticulum has attached ribosomes
The proteins made in ribosomes are often sent into the rough ER, which plays an important role in the synthesis and packing of proteins
Found in all eukaryotic cells (plant and animal)

http://www.biology4kids.com/files/cell_er.html
http://endoplasretic.blogspot.com/2011/10/how-does-rough-endoplasmic-reticulum.html