Sign up for FlowVella
Sign up with FacebookAlready have an account? Sign in now
By registering you are agreeing to our
Terms of Service
Loading Flow
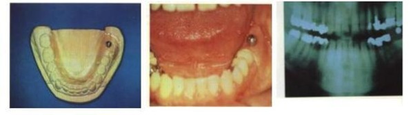
Introducción.
La férula nos permite colocar los implantes en la situación más conveniente, lo que facilita enormemente la elaboración de la prótesis, en función de la disponibilidad ósea, así como la higiene, procurando que la forma y tamaño de las piezas sean los más adecuados.
