Sign up for FlowVella
Sign up with FacebookAlready have an account? Sign in now
By registering you are agreeing to our
Terms of Service
Loading Flow


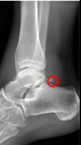
These extra bones represent a portion of a bone that never fused together in growth and development as a child. They form out of basically nothing attaching themselves to existing bone to form a stable area for a tendon to connect to.