Sign in to FlowVella

Forgot password?
Sign in with Facebook

New? Create your account

Sign up for FlowVella

Sign up with Facebook

Already have an account? Sign in now


By registering you are agreeing to our
Terms of Service

Share This Flow

Loading Flow

loading...

Downloading Image /

loading...

Downloading Image /

loading...

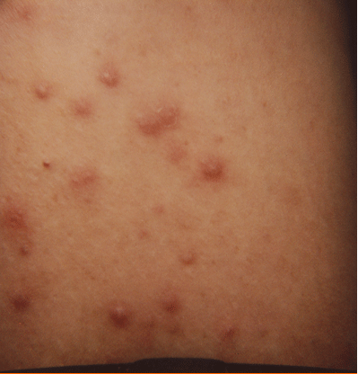
Papule

a small solid usually conical elevation of the skin


Example: characteristics of a rash

Papule:

Downloading Image /

loading...

Downloading Image /

loading...

Downloading Image /

loading...

Downloading Image /

loading...

Downloading Image /

loading...

Downloading Image /

loading...

Downloading Image /

loading...

Downloading Image /

loading...

Downloading Image /

loading...

Downloading Image /

loading...
  • 1

  • 2

  • 3

  • 4

  • 5

  • 6

  • 7

  • 8

  • 9

  • 10

  • 11

  • 12

Skin Lesions

By ??cheyennefaith100698??

From the FlowVella team Flow2 — AI presentations, built portrait for the phone 60 seconds from prompt to a link that opens