Sign up for FlowVella
Sign up with FacebookAlready have an account? Sign in now
By registering you are agreeing to our
Terms of Service
Loading Flow






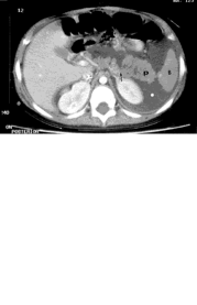
Cavidades no revestidas de epitelio que contienen sangre, pus y jugo pancreático
-Persisten 4 a 6 semanas luego de un episodio de PA
Acumulación de liquido peripancreatico infectado, >4 semanas después del episodio de PA.
-El drenaje percutaneo es la base de su tx.
Seudoquistes
Absceso
Ascitis
Fístula





Complicaciones tardías
Conexión directa entre el conducto pancreático y la cavidad peritoneal.
Puede llevar a derrames pleurales, necrosis grasa subcutánea o SCA
Rotura del conducto pancreático y se conectan con espacio pleural o pericardico, colon, id, vías biliares o por la piel.