Sign up for FlowVella
Sign up with FacebookAlready have an account? Sign in now
By registering you are agreeing to our
Terms of Service
Loading Flow

DIAGNÓSTICO:


PRUEBAS

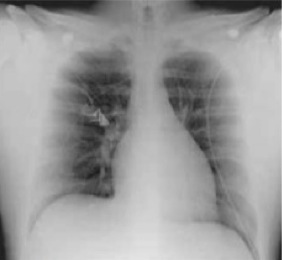
Radiografía de Tórax:
- Sin alteraciones.
ECG:
- Ritmo sinusal.
- Frecuencia cardiaca de 60 lpm.
- Eje eléctrico normal a +80º.
- Ondas P de morfología normal
- Intervalo P-R de 0.20 s.
- QTc de 0.41s.
-Hipertrofia ventricular izquierda secundaria a sobrecarga de presión sistólica -> Índice de Sokolow-Lyon positivo ( ondas S profundas en derivaciones precordiales derechas (V1, V2) y R altas en las izquierdas (V5, V6).
