Sign up for FlowVella
Sign up with FacebookAlready have an account? Sign in now
By registering you are agreeing to our
Terms of Service
Loading Flow
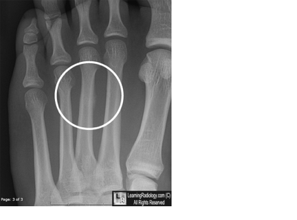
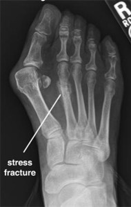
A metatarsal stress fracture is an injury that involves tiny cracks in the bone.


