Sign up for FlowVella
Sign up with FacebookAlready have an account? Sign in now
By registering you are agreeing to our
Terms of Service
Loading Flow
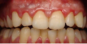
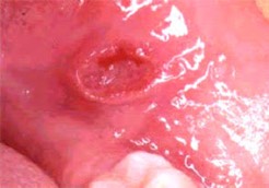
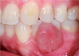
Estudios y resultados
La evidencia señala que los tejidos dentarios no responden a los cambios bioquímicos del embarazo, así como tampoco el intercambio de calcio es causante del desarrollo de caries dentales. Por otro lado, es posible observar distintas enfermedades bucales loas cuales culminan al final del embarazo.



