Sign up for FlowVella
Sign up with FacebookAlready have an account? Sign in now
By registering you are agreeing to our
Terms of Service
Loading Flow
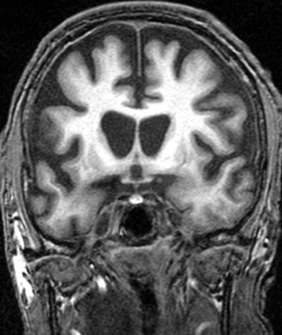
Huntingtons Disease
Katie Murphy

A progressive neuro-degenerative disease causing uncontrolled physical movements and mental deterioration.
