Sign up for FlowVella
Sign up with FacebookAlready have an account? Sign in now
By registering you are agreeing to our
Terms of Service
Loading Flow
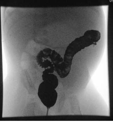
Tests used to help diagnose Hirschsprung's disease may include:
Abdominal x-ray
Anal manometry (a balloon is inflated in the rectum to measure pressure in the area)
Barium enema
Rectal biopsy

