Sign up for FlowVella
Sign up with FacebookAlready have an account? Sign in now
By registering you are agreeing to our
Terms of Service
Loading Flow

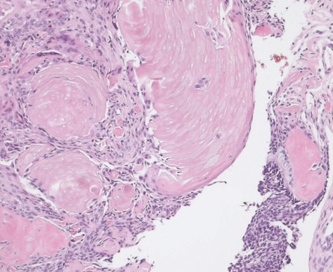
Ghost Cells

These cells have no nucleus, their outs de is visible, a nucleus and cytoplasm that cant b stained, and have had a loss of hemogloblin.
Common diseases/conditions are cystic odontogenic tumors, craniopharyngimas, and pilomatrcomas. .