Sign up for FlowVella
Sign up with FacebookAlready have an account? Sign in now
By registering you are agreeing to our
Terms of Service
Loading Flow
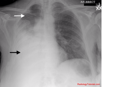
A collection of blood in the space between the chest wall and the lung (the pleural cavity)
Definition
