Sign up for FlowVella
Sign up with FacebookAlready have an account? Sign in now
By registering you are agreeing to our
Terms of Service
Loading Flow
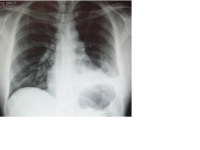
The most common cause of hemopneumothorax is chest trauma. Some other causes are gunshots or knife wounds to the chest, rib fracture, or certain medical procedures.
A sports injury that can cause hemopneumothorax might be a hard hit to the chest area.
Etiology
