Sign up for FlowVella
Sign up with FacebookAlready have an account? Sign in now
By registering you are agreeing to our
Terms of Service
Loading Flow

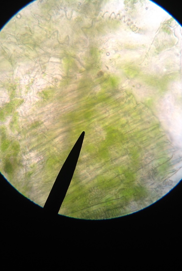
This is a picture of a broad leaf magnified at 10x. in the picture you can see palisade and mesophyll cells. The longer cells are the vascular ones and the small black dots are the stoma. The broad leaf is a common food for animals.
Broad leaf